歯が痛い、腫れている、ぐらぐらしている
このような症状が出たときは、以下のことが原因と考えられます。
|  |  |  | 
|  |  | |
虫歯

虫歯の治療は、虫歯の進行の程度により、治療方法が異なります。
▼虫歯C0~C1
初期虫歯がエナメル質(一番表層)まで羅患している状態。
                浅いので、痛みが出ることは少ない状態です。
                当院では、治療せずに経過観察をすることが多いです。
▼虫歯C2
虫歯が象牙質(2番目の層)まで羅患している状態。水でしみるなど、痛みが出てくることがあります。
                虫歯の原因菌に感染してしまった部分を削り取って、つめものをします。
                この段階で治療することがとても重要です。
▼虫歯C3
虫歯が歯の神経(歯髄)まで到達してしまった状態。 痛みの症状が出ることがほとんどです。
                神経をとる処置をすることが多いです。
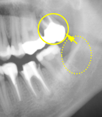
根の先の病気
主に虫歯が原因で、細菌が歯の中に通っている神経の管を通って神経自体に炎症を起こしたり、根の先に膿を作ることがあります。
                感染してしまった部分をきれいにとり、清掃をして、きれいになったところで細菌が増えないように薬をつめます。 
根の治療例(保険適応)
| Before | 
|---|
|  | 
|  | 
| After | 
|---|
|  | 
| Before | 
|---|
|  | 
| After | 
|  | 
ラバーダム防湿法

ラバーダム防湿法とは、根の治療をする歯にゴムのカバーをつけて行う方法です。
              当院では、このラバーダム防湿法を用い、マイクロスコープ下にて治療を行っております。
根の治療では、治療中に根の中に細菌が入らないようにすることが予後に大きく影響すると言われています。
              ラバーダム防湿法を用いることで、細菌を多く含む唾液が根の中に入る事を防げます。
歯根端切除術

歯の根の治療だけでは治癒に期待が持てない場合には、すぐに抜歯はせずに、歯肉をあけて根の先の膿を持った部位にアプローチする、
                歯根端切除術というものがあります。
当院では歯を残すことを前提にし、この歯根端切除術を採用していますが、これで治癒の見込みがない場合には
                再植→移植へと段階を追って治療法を決めております。
                状態が悪く、残せないかもしれない歯を何とか残す方法のひとつでもあります。
※根管治療することにより治療の影響で一時的に痛みが強くなることがあります。
歯の移植・再植
根の先の病巣が大きいなど、状態が良くない歯の場合、根の治療のみでは治癒は期待できず、やむなく抜歯になってしまうケースがあります。
                その場合、他の歯(例えば、親知らず)を抜いた部分に戻す移植法と、患歯を1度抜いて治療して戻す再植法があります。
感染してしまった部分をきれいにとり、清掃をして、きれいになったところで、細菌が増えないように薬をつめます。
移植法(保険適応)
| Before | 
|---|
|  | 
|  | 
| After | 
|---|
|  | 
| Before | 
|---|
|  | 
| After | 
|  | 
再植法(保険適応)
| Before | 
|---|
|  | 
|  | 
| After | 
|---|
|  | 
| Before | 
|---|
|  | 
| After | 
|  | 
歯周病

歯についたプラーク・歯石の中にある歯周病細菌からの毒素で、
                歯周組織(歯肉、骨)に炎症が生じて骨が吸収し最終的には歯が抜けてしまうことがあります。
大切なことは歯石を徹底的に取ること、プラークをつけたままにしておかないこと。
歯周病がひどい場合には、歯周ポケットが深く形成され、歯石が奥のほうまでこびりついて、器具でとりきれない場合もあります。
                歯石が残っていればそこから毒素が出て炎症が治まりませんので、歯周外科を行うこともあります。 
                歯肉を開いて、歯石がついているところを直接目で見ながら除去することができ、非常に効果的です。
また、吸収してしまった骨を少しでも再生させるように骨移植、GBR、エムドゲインといった治療も行っています。
当院では、基本的に担当の歯科医師と担当の歯科衛生士が、歯周状態の管理を行います。
※再生療法における術後のリスクは、移植した自家骨または、人工骨が歯肉の縫合の裂開により感染することがある。
歯の破折

特に、神経を取ったことで弱くなった歯が、咬む力に耐えられなくなって割れてしまうケースが多いです。
                完全に割れてしまっている場合には、そこから細菌が入り、感染を起こしてしまうため、抜歯が適応となります。
ただし、完全に割れておらず、あるいは小さなひびだった場合、
                一度抜歯してそのひびを埋め、
                根の治療をしてもう一度生えていた場所に戻す、いわゆる再植術を行うことで、抜歯しないですむケースもあります。              


















